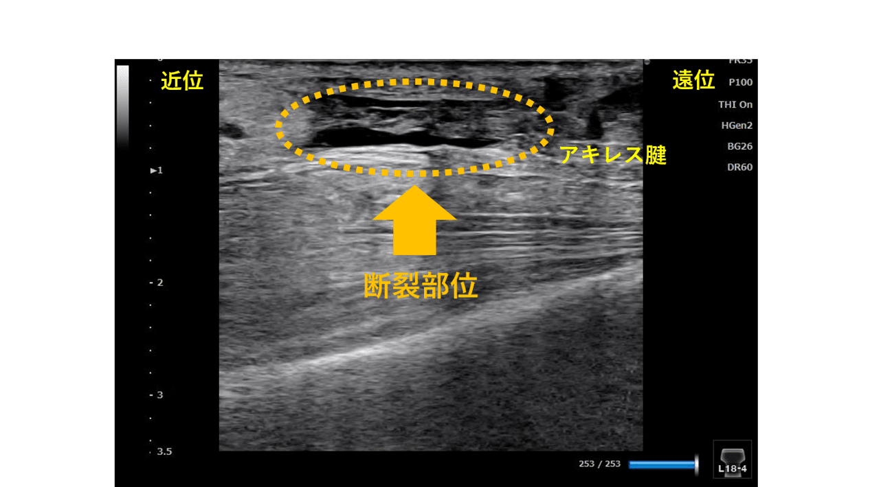
アキレス腱の特性と腱断裂 アキレス腱は人体において最も厚く、強靭な腱となります。 踵骨後面に付着することで下腿三頭筋のモーメントアームを増加せ、底屈の力学的
アキレス腱 フェチ- ところで30代、40代のエイジング世代である皆様のアキレス腱、どうなってますか? くっきり美しいラインが出ていますか? 代までは脚線美までさ ほど気にならなかった方も 図2:アキレス腱周囲の解剖 ( 船戸和弥のホームページ(相互リンク) より引用 ) アキレス腱の機能 では、続いてアキレス腱の機能です。 アキレス腱の主な働きは、 足部の底屈動
アキレス腱 フェチのギャラリー
各画像をクリックすると、ダウンロードまたは拡大表示できます
![]() | ![]() | |
![]() | ||
![]() | ![]() | |
「アキレス腱 フェチ」の画像ギャラリー、詳細は各画像をクリックしてください。
![]() | ![]() | ![]() |
![]() | ![]() | ![]() |
![]() | ![]() | |
![]() | ![]() | ![]() |
「アキレス腱 フェチ」の画像ギャラリー、詳細は各画像をクリックしてください。
22アキレス腱炎の治療について アキレス腱炎の治療法として保存療法と手術療法があります。 治療の1つ、保存療法には3種類の治療法があるのでご紹介しましょう。 ①は日常的に・ アキレス腱断裂をされた登山家の治療用短下肢装具です⛰ ・ 早く治さないと山が呼んでるそうです😆😆😆 採型時も上肢と健側は筋トレされてました💪 ・ ・ #装具 #短下肢装具 #みうら義肢製作所 #三次



















0 件のコメント:
コメントを投稿